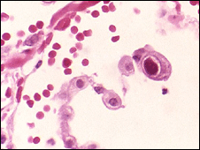
Un equipo de científicos en Gales logró clonar un virus humano que es la principal causa infecciosa de defectos congénitos en el mundo. Los científicos clonaron un CMVH en el laboratorio. El avance, afirman los científicos de la Universidad de Cardiff, podría conducir al desarrollo de nuevos tratamientos y vacunas para ésos y otros trastornos mortales, informó la BBC.
Además de ser la principal causa de infecciones que provocan malformaciones congénitas, el virus, citomegalovirus humano (CMVH), puede causar enfermedades letales a pacientes que han sido sometidos a trasplantes y a quienes sufren VIH y sida. Tal como señalan los investigadores en The Journal of Clinical Investigation (Revista de Investigación Clínica) debido a que este virus muta rápidamente, hasta ahora no se le había podido recrear fuera del cuerpo de un paciente. Y por esto ha sido muy difícil desarrollar una vacuna contra el microorganismo.
El citomegalovirus es un microorganismo que forma parte de la familia de los virus de herpes. Se propaga por medio de los fluidos corporales, como saliva y orina, y puede ser transmitido de persona a persona con el contacto corporal. Igual que muchos virus de herpes, una vez que la persona se ha infectado con el CMVH éste puede permanecer latente en el cuerpo durante muchos años.
La infección del virus puede ser muy peligrosa para mujeres embarazadas, ya que puede causar problemas auditivos y sordera en el feto. Y también puede ser letal en pacientes con sistemas inmunes comprometidos, como quienes fueron sometidos a trasplantes y quienes sufren VIH y SIDA, informó la BBC.

No hay comentarios.:
Publicar un comentario